立川でマウスピース矯正

立川デンタルクリニックすずき

電話予約042-512-5666

無料矯正相談を
web予約する

LINEで相談する

MENU

立川デンタルクリニックすずき

MENU
症例集

立川デンタルクリニックすずき歯列矯正の症例

立川デンタルクリニックすずきに通院される患者様にご協力いただき、症例集をまとめました。

ハイブリッド矯正イメージ

ハイブリッド矯正の症例

ハイブリッド矯正の症例

治療前 before
治療後 after
年齢・性別 治療期間 抜歯 費用
20代 女性 18ヶ月 上下左右第一小臼歯 110万(税込)

歯並びも気になるが、口元の突出感が気になるとの事で相談に来られた方です。口元の突出感を改善するために、ワイヤーで抜歯矯正の後、マウスピースを用いて奥歯を動かし、口元を改善しました。横顔が変わり非常に喜んで貰い得ました

施術により考えられるリスクや副作用

ワイヤー矯正による清掃不良のための、う蝕、歯周病の悪化。健全歯の抜歯。マウスピース矯正による一時的な顎関節症の悪化

配慮された無理・無駄がない矯正治療計画をご提案します

立川デンタルクリニックすずきはあなた状態に配慮し無理・無駄がない治療計画を
わかりやすい形でご提案します。

ハイブリッド矯正の症例を閉じる
マウスピース矯正イメージ

マウスピース矯正の症例
(インビザライン)

マウスピース矯正の症例
(インビザライン)

治療前 before
治療後 after
治療前 before
治療後 after
治療前 before
治療後 after
年齢・性別 治療期間 抜歯 費用
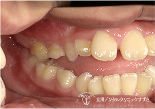
20代 女性 12ヶ月 なし 99万円(税込)

他院で抜歯矯正を進められたケースです。マウスピース矯正で奥歯の位置を移動させたことにより抜歯せずに歯並びを改善することが出来ました

施術により考えられるリスクや副作用

マウスピース矯正による一時的な顎関節症の悪化

治療前 before
治療後 after
治療前 before
治療後 after
年齢・性別 治療期間 抜歯 費用
20代 女性 11ヶ月 なし 99万円(税込)

本人の主訴は前歯の並びでしたが、機能的に見ると奥歯のかみ合わせが悪く、将来的に歯周病の悪化が懸念されるかみ合わせでした。マウスピース矯正により見た目だけではなく、機能的にも非常に良い状態に改善することが出来ました。

施術により考えられるリスクや副作用

マウスピース矯正による一時的な顎関節症の悪化

治療前 before
治療後 after
治療前 before
治療後 after
年齢・性別 治療期間 抜歯 費用
20代 女性 22ヶ月
(10ヶ月の中断あり)
親知らずと
右下第二大臼歯
99万円(税込)

前歯の並びと奥歯が1本生えてこない事を気にして来院。診査の結果、奥歯は歯茎の中に潜ったままでした。一貫治療で抜歯や歯周病治療など転院することなく全ての処置を当院で行うことが出来ました。見た目も機能的にもしっかりと改善することが出来ました。

施術により考えられるリスクや副作用

マウスピース矯正による一時的な顎関節症の悪化

治療前 before
治療後 after
治療前 before
治療後 after
治療前 before
治療後 after
年齢・性別 治療期間 抜歯 費用
20代 女性 18ヶ月 親知らず 99万円(税込)

他院で抜歯矯正を進められたケースです。複数の歯科医院で相談したが、ほとんどが抜歯のワイヤー矯正を提案され、何とか抜かない方法はないかと相談に来られました。マウスピース矯正で奥歯の位置を移動させたことにより抜歯せずに歯並びを改善することが出来ました。歯を抜かずに治せたことに対してとても喜んで貰いました。

施術により考えられるリスクや副作用

マウスピース矯正による一時的な顎関節症の悪化

配慮された無理・無駄がない矯正治療計画をご提案します

立川デンタルクリニックすずきはあなた状態に配慮し無理・無駄がない治療計画を
わかりやすい形でご提案します。

マウスピース矯正の症例を閉じる
子ども用マウスピース矯正イメージ

子供のマウスピース矯正の症例
(インビザライン・ファースト)

子供のマウスピース矯正の症例
(インビザライン・ファースト)

治療前 before
治療後 after
年齢・性別 治療期間 抜歯 費用
10歳 男の子 14ヶ月 なし 44万円(税込)

歯科検診でかみ合わせを指摘され来院。奥歯でしか物を噛むことが出来ず、前歯は全く噛んでいない状態でした。診査の結果舌の運動機能が問題で不正咬合が起きていたので、舌のトレーニングも行い、将来的な後戻りのリスクも改善しました。このまま成長すると外科処置による矯正治療の可能性もあったので、早期に治療することが出来て非常に良かったです。

施術により考えられるリスクや副作用

マウスピース使用コンプライアンスの低下による治療方針の変更の可能性

治療前 before
治療後 after
年齢・性別 治療期間 抜歯 費用
9歳 女の子 10ヶ月 なし 44万円(税込)

前歯が1本だけ反対咬合なのが気になるという主訴で、来院。診査の結果、前歯だけでなく、骨格的には反対咬合で早期に治療を開始しないと将来的には抜歯矯正になる可能性が非常に高い症例でした。マウスピースによる矯正で、本人が気にしていた治療中の見た目もほぼ目立たずに矯正治療を終了することが出来ました

施術により考えられるリスクや副作用

マウスピース使用コンプライアンスの低下による治療方針の変更の可能性

配慮された無理・無駄がない矯正治療計画をご提案します

立川デンタルクリニックすずきはあなた状態に配慮し無理・無駄がない治療計画を
わかりやすい形でご提案します。

子供のマウスピース矯正の症例を閉じる
ワイヤー矯正イメージ

ワイヤー矯正の症例

ワイヤー矯正の症例

治療前 before
治療後 after
治療前 before
治療後 after
治療前 before
治療後 after
年齢・性別 治療期間 抜歯 費用
20代 女性 18ヶ月 上下左右第一小臼歯 66万円(税込)

前歯の並びを改善したいという主訴で相談にいらっしゃいました。歯の大きさに対して顎が非常に小さいので抜歯矯正を選択しました。治療後に治療前の自分の写真を見て「本当に矯正をして良かった」と言ってもらえました。

施術により考えられるリスクや副作用

ワイヤー矯正による清掃不良のための、う蝕、歯周病の悪化。健全歯の抜歯。

配慮された無理・無駄がない矯正治療計画をご提案します

立川デンタルクリニックすずきはあなた状態に配慮し無理・無駄がない治療計画を
わかりやすい形でご提案します。

ワイヤー矯正の症例を閉じる