立川でマウスピース矯正

立川デンタルクリニックすずき

電話予約042-512-5666

無料矯正相談を
web予約する

LINEで相談する

MENU

立川デンタルクリニックすずき

MENU
あなたに合わせた治療法で一人ひとりに寄り添うオンリーワンの歯科矯正

立川デンタルクリニックすずきは異なる矯正装置を掛け合わせ
多くの歯並びに高い効果が期待できる
ハイブリッド矯正を提供しています。

対応が可能なよくある歯並び

  • 出っ歯
  • 受け口
  • ガタガタの歯
  • すきっ歯

こんな悩みありませんか?

  • 自分の歯並びも治るの?
  • 矯正の期間はどれくらい?
  • 矯正してたけど直らなかった…
  • 通院回数は多くないですか?
  • 治療費はどれくらい?
  • アレルギーでも治療できる?
  • 矯正器具を目立たなくできる?
  • 治療は痛くないですか?
  • 何歳からできるの?
・・・

立川デンタルクリニックすずきだからできるハイブリッド矯正とは?

歯並びの悪さには3つの種類あります

  • 顎の位置の問題
  • 歯と顎の大きさの問題
  • 顎の位置と大きさ
    どちらにも問題がある

基本的な治療として、ワイヤー矯正またはマウスピース矯正(インビザライン)を使用し、正しく噛むことができる位置に歯を動かした時に十分なスペースがあるかを判断して抜歯をするかどうかを決めます。
これらを理想の噛み合わせから逆算し、どの方法が良いかを考え治療計画を立てていきます。

ハイブリッド矯正はこれらの治療方法を使い合せ、どの歯並び問題に対しても高い効果が期待できる治療方法です。

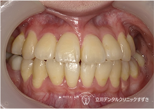
治療前 before
治療後 after
年齢・性別 治療期間 抜歯 費用
20歳 女性 18ヶ月 上下左右第一小臼歯 110万(税込)

歯並びも気になるが、口元の突出感が気になるとの事で相談に来られた方です。口元の突出感を改善するために、ワイヤーで抜歯矯正の後、マウスピースを用いて奥歯を動かし、口元を改善しました。横顔が変わり非常に喜んで貰い得ました

施術により考えられるリスクや副作用

ワイヤー矯正による清掃不良のための、う蝕、歯周病の悪化。健全歯の抜歯。マウスピース矯正による一時的な顎関節症の悪化

立川デンタルクリニックすずきはあなたの理想の歯並びになるようにサポートします。

当院では無料相談に歯列矯正のためのデジタル設備を駆使し、その場でデジタルスキャンを使い精密な模型を作成、今と未来の歯並びを見ながら不安な気持ちや疑問、細かいことも真摯にお答えいたします。

おすすめの理由

当院の矯正治療をお勧めする4つの理由

矯正治療に必要な術前治療など
全て転院することなくおこなえる

歯列矯正治療を開始する前に、むし歯治療、歯周病治療、親知らずの抜歯、矯正に必要な便宣抜歯など、様々な処置が必要になる場合があります。矯正専門医などではその都度、転院しなくてはいけませんが、当院では全ての治療を一貫しておこなうことができます。

急なトラブルでも対応が可能

矯正の専門医が常駐していない歯科医院では、装置が外れたり、壊れてしまった等、急なトラブルに対応できない場合があります。
当院では、診療日に矯正担当医が常に勤務しているので、急なトラブルにも安心できます。

確実な実績

開院以来ワイヤー矯正、マウスピース矯正に取り組み、数多くの実績と確かな技術を築き、インビザライン認定医となった2014年から多くの実績を積み重ね、現在ゴールドライセンスとなりました。
院長は全国各地でマウスピース矯正の勉強会を主催し、歯科医師への指導をおこなっています。また、都内矯正専門医とも提携し難症例にも対応しております。

安心の保証内容

治療が長引いてしまったとき、予定通り動かなかったとき、当初の治療計画に入っていない装置を追加で使用するときなど、追加の費用が掛からない治療保証がございます。詳しくは契約書をごらんください。

抜歯について

抜歯が心配な方はこちらをご覧ください

”抜歯しない矯正”が良い矯正ということは決してありません。歯並びや歯の大きさ、顎の位置や大きさなどを十分に考慮した治療方法を選ぶことが大事だと考えます。

歯並びの3つの治療方法

どの治療方法になっても前歯の位置はほとんど変わりません。

これらそれぞれで治療方法が異なります。(1)はマウスピース矯正が得意とする拡げることで歯が並ぶスペースを作る方法です。(2)はマウスピース矯正が得意とする歯を後ろに移動させる治療、(3)は抜歯をすることでしかスペースを作れない場合になります。
この(2)と(3)両方が必要な特殊ケースもありますが、当院のハイブリッド矯正はこういう特殊なケースにも対応できる治療法です。

怖い話

歯並びの怖いお話

矯正治療は歯並びの見た目をよくする治療というのが一般的な認知だと思いますが、今の歯並びの状態で80歳の高齢になった時に残っている歯の本数がおおよそ決まってくるというのはご存知ですか?

不整な歯並びと8020達成の関係(80歳の時に20本以上歯が残っている確率)

80歳の時の歯並びと残り歯数の関係図(東京歯科大学研究結果より)

歯並びの矯正は、自分自身の未来への投資となる治療にもなります。高齢になった時に入れ歯やインプラントを使用せずにご自身の歯で食べ物を食べれる元気な歯を手に入れましょう。

無料矯正相談で矯正結果を精密にシミュレーション

立川デンタルクリニックすずきはあなたの理想の歯並びになるようにサポートします。

当院では無料相談に歯列矯正のためのデジタル設備を駆使し、その場でデジタルスキャンを使い精密な模型を作成、今と未来の歯並びを見ながら不安な気持ちや疑問、細かいことも真摯にお答えいたします。

歯列矯正の違い

マウスピース型矯正歯科装置(インビザライン)

マウスピース型矯正歯科装置(インビザライン)

見た目 取り外し 痛み 金属アレルギー 衛生面 会話
目立ちにくい 可能 ほとんど無し 無し 取り外して歯磨き可能 違和感なし
対応可能なよくある歯並び
  • 出っ歯
  • 受け口
  • ガタガタの歯
  • すきっ歯
治療前 before
治療後 after
年齢・性別 治療期間 抜歯 費用
20代 女性 12ヶ月 なし 99万円(税込)

他院で抜歯矯正を進められたケースです。マウスピース矯正で奥歯の位置を移動させたことにより抜歯せずに歯並びを改善することが出来ました

施術により考えられるリスクや副作用

マウスピース矯正による一時的な顎関節症の悪化

マウスピース型矯正歯科装置(インビザライン)でかかる料金の目安
初診診断
無料
矯正シミュレーション
無料
インビザライン 1,089,000円(税込)
分割でのお支払い例
(デンタルローン利用)

月々13,200円〜

  • 年率3.9%・96回払い
  • まずは矯正相談で精密なお口の状態を把握し、患者様に最も適した治療方法をご提案していきます。
  • マウスピース矯正装置(インビザライン )は、完成物薬機法の対象外となるため、医薬品副作用被害救済制度の対象となりません。
ライト(14枚まで) 682,000円(税込)
分割でのお支払い例
(デンタルローン利用)

月々7,000円〜

  • 年率3.9%・96回払い
  • まずは矯正相談で精密なお口の状態を把握し、患者様に最も適した治療方法をご提案していきます。
  • マウスピース矯正装置(インビザライン )は、完成物薬機法の対象外となるため、医薬品副作用被害救済制度の対象となりません。
インビザライン・ファースト
(子ども用マウスピース矯正)
550,000円(税込)
分割でのお支払い例
(デンタルローン利用)

月々6,680円〜

  • 年率3.9%・96回払い
  • まずは矯正相談で精密なお口の状態を把握し、患者様に最も適した治療方法をご提案していきます。
  • マウスピース矯正装置(インビザライン )は、完成物薬機法の対象外となるため、医薬品副作用被害救済制度の対象となりません。
クレジットカード一覧
  • 院内ローンをご希望の方はスタッフまでご相談ください。
  • 子どもマウスピース矯正装置(インビザライン ・ファースト)は、完成物薬機法の対象外となるため、医薬品副作用被害救済制度の対象となりません。
ワイヤー矯正

ワイヤー矯正

見た目 取り外し 痛み 金属アレルギー 衛生面 会話
目立つ 不可 締め付ける
ような痛み
発症する
可能性あり
取り外せないため
ケアが大変
多少違和感
あり
対応可能なよくある歯並び
  • 出っ歯
  • 受け口
  • ガタガタの歯
  • すきっ歯
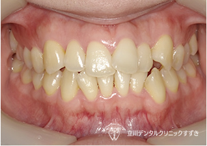
治療前 before
治療後 after
年齢・性別 治療期間 抜歯 費用
20代 女性 18ヶ月 上下左右第一小臼歯 66万円(税込)

前歯の並びを改善したいという主訴で相談にいらっしゃいました。歯の大きさに対して顎が非常に小さいので抜歯矯正を選択しました。治療後に治療前の自分の写真を見て「本当に矯正をして良かった」と言ってもらえました

施術により考えられるリスクや副作用

ワイヤー矯正による清掃不良のための、う蝕、歯周病の悪化。健全歯の抜歯。

ワイヤー矯正でかかる料金の目安
初診診断
無料
矯正シミュレーション
無料
部分矯正 96,800円(4本)〜(税込)
追加1本24,200円(税込)
ワイヤー矯正 上下顎 748,000円(税込)
インプラントアンカー 38,500円(税込)
クレジットカード一覧
  • 院内ローンをご希望の方はスタッフまでご相談ください。
  • 子どもマウスピース矯正装置(インビザライン ・ファースト)は、完成物薬機法の対象外となるため、医薬品副作用被害救済制度の対象となりません。
ハイブリッド矯正(治療法を組み合わせる治療)

ハイブリッド矯正

見た目 取り外し 痛み 金属アレルギー 衛生面 会話
治療の組み合わせ次第で変わります。
対応可能なよくある歯並び
  • 出っ歯
  • 受け口
  • ガタガタの歯
  • すきっ歯
治療前 before
治療後 after
年齢・性別 治療期間 抜歯 費用
20歳 女性 18ヶ月 上下左右第一小臼歯 110万(税込)

歯並びも気になるが、口元の突出感が気になるとの事で相談に来られた方です。口元の突出感を改善するために、ワイヤーで抜歯矯正の後、マウスピースを用いて奥歯を動かし、口元を改善しました。横顔が変わり非常に喜んで貰い得ました

施術により考えられるリスクや副作用

ワイヤー矯正による清掃不良のための、う蝕、歯周病の悪化。健全歯の抜歯。マウスピース矯正による一時的な顎関節症の悪化

ハイブリッド矯正でかかる料金の目安
初診診断
無料
矯正シミュレーション
無料
ハイブリッド矯正 1,243,000円(税込)
分割でのお支払い例
(デンタルローン利用)

月々15,000円〜

  • 年率3.9%・96回払い
  • まずは矯正相談で精密なお口の状態を把握し、患者様に最も適した治療方法をご提案していきます。
  • マウスピース矯正装置(インビザライン )は、完成物薬機法の対象外となるため、医薬品副作用被害救済制度の対象となりません。
クレジットカード一覧
  • 院内ローンをご希望の方はスタッフまでご相談ください。
  • 子どもマウスピース矯正装置(インビザライン ・ファースト)は、完成物薬機法の対象外となるため、医薬品副作用被害救済制度の対象となりません。

立川デンタルクリニックすずきはあなた状態に配慮し無理無駄がない治療計画を
わかりやすい形でご提案します。

立川デンタルクリニックすずき矯正治療までの流れ

初診カウンセリング

患者様の希望や要望をお聞かせいただき、安心して満足した治療を受けていただけるように致します。

カウンセリング風景 ユニット

口の中の検査・診断

矯正用専用機器アイテロ(3Dスキャナー)や口腔内の写真撮影をおこない、現在の記録をとっていきます。

矯正相談

矯正方法や期間、金額、支払い方法などについて詳しくお話し致します。

カウンセリング風景

次回のお約束、または後日電話にてお約束

ここまでのカウンセリングや検査・診断、ご提案までが無料相談の内容になります。
もしご提案する矯正の内容に満足いただけたら次回からの治療をご予約してください。一度自宅で考えたい場合や保護者に相談したいなどみなさまのご都合に合わせて後日電話で治療のご予約でも大丈夫なので気軽に無料相談をご活用ください。
その後、レントゲンを用いた精密検査、矯正前治療についてのご説明をいたします。

治療の流れ

よくあるご質問

矯正治療には保険が効きませんか?
原則、矯正治療は保険診療対象外となります。
治療費の支払い方法
当院では現金のほかに、銀行振込、クレジットカード、デンタルローンがご利用できます。
保険外治療は高額になりやすいため、銀行振込やクレジットカードなど、現金を持ち運びしないお支払いが良いと考えております。
また、第5の支払い方法として当院では院内ローンをご利用できます、詳しくはスタッフまでお問い合わせください。
クレジットカードの利用
クレジットカードでのお支払いが可能となっております。
また、金額が大きい場合は前もってカード会社に連絡をしておくことをお勧めいたします。稀にセキュリティロックがかかり、カードの利用に時間がかかる場合がございます。
治療期間について
患者様の歯の状態によって異なりますが、1期治療(子ども矯正)の場合は1年半~2年ほど、2期治療(大人矯正)の場合は半年~2年ほどになります。
マウスピース矯正とワイヤー矯正どちらを選べばよいのかわかりません
それぞれに良い点があり状態によってはマウスピース矯正では難しい場合がございますので、まずは歯の状態をチェックしてもらい歯科医師に相談して決めるのが良いと考えます。
子どものマウスピース矯正はありますか?
はい、だいたい6歳~11歳くらいを対象としたマウスピース矯正がございます。